「この歯は、もう抜くしかありませんね」
もし、あなたが歯科医師から突然こう告げられたら、どう感じますか? 多くの方が、大きなショックを受け、不安な気持ちでいっぱいになるのではないでしょうか。ご自身の歯を失うことは、食事の楽しみが減るだけでなく、精神的にも辛いものです。
今回ご紹介するのは、まさにそのような状況で当院を訪れた患者さんです。他院で抜歯とインプラント治療を勧められたものの、「本当に残す方法はないのだろうか」と、ご自身の歯の可能性を諦めずに当院の扉を叩いてくださいました。
これは、精密な診査診断と専門医による高度な歯内療法によって、抜歯の危機にあった歯を救い、今もなお健康に機能している一人の患者さんの記録です。
1. 患者さんのご紹介(主訴・お悩み)
40代 女性
● 主訴
他の歯科医院で「抜歯が必要です」と言われた歯を、なんとか残せないか診てほしい。
● お悩み
見た目には特に問題ないが、奥歯で物を噛むと鈍い違和感があり、その感覚が日を追うごとに強くなってきた。抜歯は最終手段と考え、歯を保存できる方法を探してインターネットで検索し、当院のホームページをご覧になり来院されました。
患者さんは、「できる限り自分の歯で、この先も食事を楽しみたい」と強く願っていらっしゃいました。私たちは、そのお気持ちに全力で応えるため、まずは歯がどのような状態にあるのか、精密な検査から始めることにしました。
2. ご来院時の状態と診断
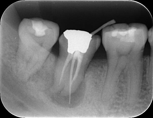
まず、視診や問診を行い、お口の中全体の状態を把握します。患者さんのおっしゃる通り、見た目には大きな虫歯や歯の破折などは認められませんでした。しかし、レントゲン撮影を行ったところ、問題の原因が明確になりました。
レントゲン写真には、問題の歯の根の先端(根尖)を取り囲むように、黒い影がはっきりと写っていました。これは根尖病変(こんせんびょうへん)と呼ばれるもので、歯の根の先に膿の袋ができて骨を溶かしている状態です。
過去に行った歯の神経の治療(根管治療)が不十分であったり、治療後に根管内で細菌が繁殖したりすることで、歯の根の先から細菌や毒素が漏れ出し、顎の骨の中に膿の袋(嚢胞)を作ってしまう病気です。初期は自覚症状がないことも多いですが、進行すると噛んだ時の痛みや違和感、歯茎の腫れや「フィステル」と呼ばれるおできのようなものができることがあります。
患者さんの場合、この根尖病変がかなり大きくなっており、歯茎にはフィステル(瘻孔:ろうこう)も認められました。これが、噛んだ時の違和感の原因でした。他院で抜歯と診断されたのも、この病変の大きさが理由だと考えられます。
3. 治療計画
根尖病変が大きい場合、一般的には抜歯が選択されることも少なくありません。しかし、当院では「歯を残す」ことを第一に考え、あらゆる可能性を探ります。
歯を保存するためには、以下の条件をクリアしているか、精密に診査する必要があります。
1.病変の原因は歯の根(歯内)にあるか?
歯周病が進行して同様の症状が出ることもあるため、歯周組織検査を行い、原因を特定します。
2.十分な量の歯質が残っているか?
治療後に被せ物(補綴物)を安定させるために、健康な歯質が十分に残っていることが重要です。
3.歯が割れて(破折して)いないか?
歯根破折がある場合、残念ながら保存は極めて困難になります。
当院では、これらの条件を正確に評価するため、通常のレントゲンに加えて、歯を近心(手前側)と遠心(奥側)の2方向から撮影し、さらに必要に応じて歯科用CT撮影を行います。歯科用CTは、顎の骨や歯の状態を三次元的に把握できるため、レントゲンだけでは分からない病変の広がりや、歯根の形態、破折の有無などを詳細に確認することができます。
【当院の強み・こだわり①:科学的根拠に基づく精密な診査・診断】
私たちは、経験や勘だけに頼るのではなく、多角的な検査から得られる客観的なデータに基づいて診断を行います。CTなどの先進設備を駆使して歯の状態を正確に把握することで、従来であれば抜歯と診断されていたような難しい症例でも、歯を残せる可能性を見出すことができます。
各種精密検査の結果、この患者さんの歯は、
● 十分な歯質が残っていること
● 歯根破折は認められないこと
が確認できました。 私たちは、これらの診断結果を患者さんに丁寧にご説明し、「この歯は、適切な手順で治療を行えば保存できる可能性が非常に高いです」とお伝えしました。患者さんの同意を得て、歯内療法の専門医による根管治療を開始することになりました。
4. 治療の実際
根管治療の成功の鍵は、「いかに細菌感染をコントロールするか」に尽きます。当院では、歯内療法専門医が、以下の手順に則って精密な治療を行います。
【当院の強み・こだわり②:歯内療法専門医による感染対策を徹底した治療】
1.麻酔・ラバーダム防湿
まず、しっかりと麻酔を行い、痛みのない状態で治療を進めます。次に、治療する歯だけを露出させるゴムのシート「ラバーダム」を装着します。これにより、治療中に唾液に含まれる細菌が根管内に侵入するのを防ぎ、クリーンな環境を確保します。
2.隔壁作成・不良な土台の除去
歯の周囲に「隔壁(かくへき)」と呼ばれる壁を作り、治療器具や薬剤が漏れ出さないようにします。その後、マイクロスコープ(歯科用顕微鏡)で術野を拡大しながら、内部に残っていた古い土台(コア)や不良な充填物を慎重に除去していきます。
3.根管の洗浄・形成
細菌に感染した汚染物質を根管内から徹底的に取り除くため、特殊な薬剤を用いて洗浄を繰り返します。同時に、「ファイル」という極細の器具を使い、複雑な形状の根管を丁寧に拡大・形成していきます。この工程が、治療の成否を分ける最も重要なステップです。
4.根管充填と支台歯築造
根管内が完全にクリーンになったことを確認したら、再感染を防ぐために薬剤で隙間なく密閉(根管充填)します。さらに当院では、感染リスクを最小限に抑えるため、根管充填を行ったその日のうちに、歯の土台となる支台歯(しだいし)を築造するところまで一貫して行います。これにより、治療した根管に細菌が再び入り込む隙を与えません。
5.補綴治療への連携
根の治療は歯内療法専門医が担当し、その後、機能的・審美的な被せ物(補綴物)を作製する専門の歯科医師へとスムーズにバトンタッチします。仮歯を装着して歯茎の状態が安定するのを待ち、最終的に適合性の高いセラミッククラウンを装着して治療完了となります。
5. 治療後・予後
治療直後から、あれほど気になっていた「噛んだ時の違和感」は消失しました。
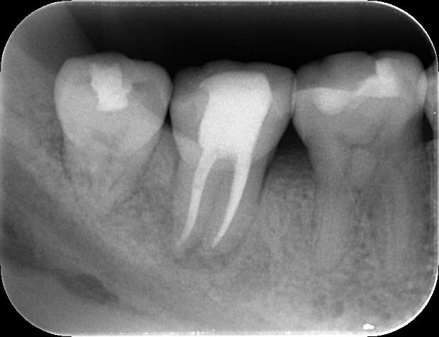
治療後の経過をレントゲン写真で追跡したところ、治療開始から3ヶ月後には、根の先にあった黒い影(骨が溶けていた部分)が大幅に縮小し、骨が再生してきている様子が確認できました。そして、半年後には病変は消失し、健康な骨組織に置き換わっていました。
一般的に、保険診療での根管治療では、病変が治癒するまで半年以上にわたって違和感が続くケースも少なくありません。当院の精密根管治療は、徹底した感染管理と精密な処置により、より確実でスピーディーな治癒を目指すことができます。
2025年現在、治療から数年が経過していますが、再発もなく、患者さんは今もご自身の歯で、何不自由なく食事を楽しまれています。
6. 患者さんからいただいたお言葉
治療を終えた患者さんから、大変嬉しいお言葉をいただきました。
「他の歯医者さんで抜くしかないと言われた時は、本当にショックで目の前が真っ暗になりました。でも、諦めずにこちらの医院に相談して本当に良かったです。先生が『この歯は残せますよ』と言ってくださった時、心から安心したのを覚えています。治療も丁寧で、今ではすっかり違和感もなくなり、自分の歯でしっかり噛める喜びを毎日実感しています。本当にありがとうございました。」
まとめ
「抜歯」という診断は、患者さんにとって非常に重い宣告です。しかし、今回の症例のように、精密な診査診断と、専門医による高度な治療を行えば、抜歯を回避できる可能性は十分にあります。
もし、あなたが「抜歯しかない」と言われてお悩みでしたら、どうか諦めないでください。セカンドオピニオンを求めることも、ご自身の歯を守るための大切な一歩です。当院では、患者さんの「歯を残したい」というお気持ちに寄り添い、科学的根拠に基づいた最善の治療法をご提案いたします。どうぞお気軽にご相談ください。
2017年12月

2018年1月

2018年2月

2018年11月

| 術名 | 再根管治療 |
|---|---|
| 年齢 | 40代 |
| 性別 | 女性 |
| 主訴 | 他医院で抜歯と診断されたが、残せないか診てほしい |
| 診断名 | 根尖性歯周炎 |
|---|---|
| 治療内容 | 再根管治療 |
| 治療期間 | 通院回数2回 |
| 費用 | ¥190,000円 ※支台築造、上部冠、診断料除く |
| リスク・副作用 | 破折の可能性がある |
【治療のリスク・副作用について】
● 根管治療は外科的な処置を伴うため、治療後に一時的な痛みや腫れ、違和感が出ることがあります。
● 治療の成功率は100%ではなく、歯の根の状態や全身状態によっては、再治療や外科的歯内療法、やむを得ず抜歯が必要になる場合があります。
● 治療期間中に仮歯が外れたり、歯がしみたりすることがあります。
【費用について】
本症例で行った治療は、自由診療(保険外診療)となります。
● 診査・診断料(CT撮影含む)
● 精密根管治療費
● 支台歯築造費
● 補綴物(セラミッククラウン)作製・装着費
費用は、歯の状態や治療の難易度によって異なります。カウンセリングの際に、詳細な費用と治療計画についてご説明いたしますので、ご安心ください。
▼当院の精密根管治療の詳細はこちら
https://www.shu-dental.jp/treatment/endo
監修:州デンタルオフィス
白土 州(院長 / 10studyClub 理事)
福岡歯科大学 卒業
九州歯科大学附属病院 口腔インプラント科
日本口腔インプラント学会会員
日本顕微鏡歯科学会会員

