今回は、不慮の事故により前歯を失ってしまった患者さんの、インプラント治療によるリカバリー症例をご紹介いたします。
前歯は人目につきやすいため、機能回復はもちろんのこと、「いかに早く、美しく治すか」がとても重要になります。当院が得意とする「抜歯即時インプラント」のメリットが活かされたケースです。
1. 患者さんのご紹介(主訴・お悩み)
60代 女性
● 主訴
孫と遊んでいる時に、孫の頭が前歯に強く当たってしまい、差し歯が取れてしまった。
「お孫さんの頭突き」は、実は歯医者では時折耳にする事故の一つです。
今回の患者さんは、今まで大切に使われていた前歯の差し歯が、その衝撃で根本からグラグラになり、脱離してしまったとのことでした。
前歯がない状態は、お食事はもちろん、会話や外出といった日常生活に多大なストレスを与えます。「一刻も早く、元の笑顔を取り戻したい」という切実な思いでご来院されました。
2. ご来院時の状態と診断
早速、レントゲン撮影と歯科用CTによる精密検査を行いました。
診断の結果、衝撃により歯の根っこが割れてしまっている「歯根破折(しこんはせつ)」が確認されました。
破折している箇所は「骨頂(こっちょう)」付近に位置しており、残念ながら再び差し歯として保存することは極めて困難な状態でした。
歯を支えている骨(歯槽骨)の、頂点(一番上のライン)のことです。
この骨のてっぺん付近や、それより深い位置で歯が折れてしまうと、歯ぐきから歯をきれいに出すことが難しくなります。そのため細菌が入りやすくなり、腫れや痛みが出る可能性が高まります。こういった場合は、歯を残すのではなく、抜歯が必要になる可能性があります。
無理に歯を残しても、すぐに痛みが出たり、周囲の骨を溶かしてしまったりするリスクが高いことをご説明しました。
その上で、長期的な予後の安定と、周囲の健康な歯を削らずに済む方法として「インプラント治療」をご提案し、ご承諾をいただきました。
3. 治療計画:なぜ「当院のインプラント」なのか
今回のケースで特筆すべきは、「治療期間」と「身体的負担」の圧倒的な差です。
通常、抜歯が必要なケースでインプラントを行う場合、一般的な歯医者では以下のようなステップを踏むことが多く、完成までに1年以上かかることも珍しくありません。
【一般的なインプラント治療の流れ(例)】
1. 抜歯処置
2.(治癒期間:約3ヶ月待機)
3. インプラント埋入手術
4.(結合期間:約3ヶ月待機)
5. 2次手術(歯ぐきを開いて土台を立てる)
6.(歯ぐきの治癒:約2ヶ月待機)
7. 仮歯作製・調整
8. 最終的な歯(上部構造)の作製・装着
・合計期間:約1年以上
・外科処置回数:複数回
前歯がない期間が長く続くことや、何度も外科処置を行うことは、患者さんにとって大きな精神的・身体的負担となります。
そこで当院では、抜歯と同時にインプラントを埋め込む「抜歯即時インプラント埋入」という計画を立案しました。
【当院の治療計画】
1. 抜歯と同時にインプラントを埋入・その日のうちに仮歯まで装着
2.(結合期間:約3ヶ月待機)
3. 最終的な歯(上部構造)の作製・装着
・合計期間:約3〜4ヶ月
・外科処置回数:1回のみ
抜歯をしたその穴(抜歯窩)を利用して、即座にインプラント体を埋め込む高度な術式です。
抜歯後の傷の治癒力(自然治癒力)を利用するため、骨とインプラントの結合がスムーズです。また、歯ぐきを切開したり剥離したりする必要がないため、術後の腫れや痛みをできるだけ抑えることが期待できます。
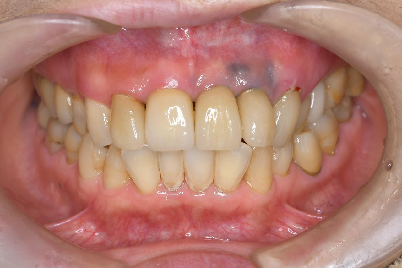
4. 治療時:切らない・縫わない・腫れない手術
実際の手術は、事前にシミュレーションした位置へ正確にインプラントを埋入します。
当院のこの術式の強みは、「フラップレス手術(無切開手術)」であることです。
メスで歯ぐきを大きく切ったり、縫合したりする必要がありません。そのため、術後の腫れはほとんどなく、患者さんも「もう終わったのですか?」と驚かれるほどスムーズに終了しました。
また、今回は「同時仮歯作製」を行いました。
手術当日に、見た目を回復する仮歯をお入れしています。これにより、「歯がない期間」をゼロにすることができ、手術直後から人目を気にせず生活していただくことが可能になりました。
さらに、技術的な観点からもう一つ重要なポイントがあります。それは「逆回転の負荷(リバーストルク)」のリスク管理です。
通常の治療法では、部品の交換などのたびにインプラントに力がかかることがありますが、今回の治療では、そうした負担が少なくなるよう工夫しています。
インプラント治療では、土台や仮歯を外す際に、ネジを緩める方向(逆回転)の力がかかります。骨と完全にくっついていない時期にこの力が頻繁にかかると、インプラントの結合を阻害するリスクがあります。
当院の術式では、最終的な歯を入れるまでの工程を簡略化しているため、この「逆回転の負荷」をかける回数が1回で済みます。これにより、最もデリケートな治癒期間を安全に過ごすことができるのです。
5. 治療後・予後
術後3ヶ月の治癒期間を経て、インプラントと骨が強固に結合していることを確認しました。
その後、最終的な上部構造(セラミックの被せ物)の型取りを行い、装着いたしました。
治療回数: 全6回
1. 術前診断
2. 手術前クリーニング
3. 手術(抜歯・インプラント埋入・仮歯装着)
4. 消毒
5. 最終上部構造の型取り(印象)
6. 最終上部構造セット
総額費用: 533,500円(税込)
※上記費用には、手術代、被せ物代のほか、当院でクリーニングを継続した場合に適用される10年保証費用も含まれています。






完成した前歯は、天然の歯と見分けがつかないほど自然な仕上がりとなりました。
患者さんからは、「孫との遊びもまた思い切り楽しめるようになりました。1年もかかると言われていたら諦めていたかもしれませんが、数ヶ月で、しかも手術が1回で済んで本当に良かったです」とのお言葉をいただきました。
当院では、患者さんの生活背景やご希望に寄り添い、可能な限り「早く」「痛みに配慮」「長持ちする」治療計画をご提案しています。
「他院で治療期間が長いと言われた」「手術が怖い」という方も、ぜひ一度ご相談ください。
監修:州デンタルオフィス
白土 州(院長 / 10studyClub 理事)
福岡歯科大学 卒業
九州歯科大学附属病院 口腔インプラント科
日本口腔インプラント学会会員
日本顕微鏡歯科学会会員

