今回の患者さんは、他院での治療経過が思わしくなく、奥様のご紹介で当院へ来院された50代の男性です。
「とにかく治療期間を短くしたい」「痛みを少なくしたい」というニーズに対し、当院の強みであるデジタル技術を駆使した「抜歯即時インプラント」を行い、良好な結果が得られたケースです。
同様のお悩みをお持ちの方の参考になれば幸いです。
1. 患者さんのご紹介(主訴・お悩み)
50代 男性
● 来院経路
当院に通われている奥様からのご紹介
● 主訴
左上5番(小臼歯)の違和感、噛んだ時の不快感
こちらの患者さんは、以前に他の歯医者にて左上の歯の根管治療(神経の治療)を受けていらっしゃいました。しかし、治療後も違和感が消えず、「なんとなく歯ぐきが腫れている気がする」「噛むと奥に響くような感じがする」とのことで、ご家族の勧めもあり当院を受診されました。
お仕事がお忙しい年代でもあり、できるだけ通院回数を減らし、かつ確実な治療を希望されていました。
2. ご来院時の状態と診断
早速、精密検査を行いました。
レントゲンおよびCT撮影に加え、マイクロスコープ(歯科用顕微鏡)を用いて患部を詳細に確認しました。
他院での根管治療歴がある左上5番ですが、マイクロスコープでの視診において、歯の根元に「破折(はせつ)」、つまりヒビが入っていることが確認されました。また、そのヒビが原因となり細菌感染が広がり、根っこの先に膿が溜まる「根尖病変(こんせんびょうへん)」も認められました。
念のため、歯内療法(根の治療)の専門医とも連携し診断を仰ぎましたが、「破折が明確であり、これ以上の保存(歯を残すこと)は難しい。抜歯が望ましい」という結論に至りました。
歯の根っこが割れたり、ヒビが入ったりすることです。一度割れてしまうと、その隙間から細菌が入り込み続けるため、再度接着して治すことはとても困難であり、多くのケースで抜歯が必要となります。
マイクロスコープ(歯科用顕微鏡)を使用した精密な根管治療のこと。肉眼の約20倍まで拡大できるため、隠れたヒビや汚れを発見することが期待できます。
患者さんに現状をご説明し、「歯を残すことは不可能であること」をご理解いただいた上で、抜歯後の欠損補綴(歯がない部分を補う治療)として、入れ歯、ブリッジ、インプラントの選択肢をご提示しました。
患者さんは「他の健康な歯を削りたくない(ブリッジの回避)」「違和感なく自分の歯のように噛みたい」と強く希望され、インプラント治療を選択されました。

3. 治療計画 ~なぜ「抜歯即時」なのか~
ここで、今回の治療のポイントである「抜歯即時インプラント」について詳しくご説明します。
通常のインプラント治療の手順は、以下の通りとても長い期間を要します。
【一般的な治療(待時埋入)の流れ】
1.抜歯をする
2.【待機】 歯ぐきと骨の治癒を待つ(約3ヶ月)
3.【骨造成】 骨が足りない場合、骨を作る手術(サイナスリフト等)を行う
4.【待機】 骨が固まるのを待つ(約4ヶ月)+歯ぐきの形成
5.インプラント埋入
6.【待機】 インプラントと骨の結合を待つ
7.最終的な歯が入る(トータルで約1年~1年半)
しかし、今回の患者さんは口腔内環境が比較的良好であり、既存の骨の状態も悪くありませんでした。そこで当院では、抜歯をしたその日のうちにインプラントを埋入する「抜歯即時インプラント」を計画しました。
抜歯と同時にインプラント体を埋め込む手術法です。
メリット: 治療期間の大幅な短縮、手術回数が1回で済む、傷の治りが早い、骨が痩せるのを防ぐことができる。
デメリット: 高い技術と経験が必要(術者依存度が高い)、適応できない症例もある。
【当院の強み】デジタルプランニング
この高度な手術を成功させるために、当院では徹底したデジタルシミュレーションを行います。
1.データ取得: CT画像(骨の情報)と、3Dスキャン(歯ぐきや歯並びの情報)を取得。
2.マッチング: 2つのデータを重ね合わせ、コンピュータ上で手術のシミュレーションを行います。
3.ガイド作製: 歯科技工士と連携し、インプラントを埋入する「位置・角度・深さ」を完全に制御するための装置「サージカルガイド(ステント)」を作製します。
この入念な準備により、精度の高いシミュレーションに基づいた、スムーズでトラブルの起きにくい手術を実現します。
4. 治療時(手術当日)
ご来院2回目、いよいよ手術当日です。
事前に綿密なクリーニングを行い、お口の中を清潔な状態にしてからスタートします。
当日の流れ
1.抜歯: 原因となっていた、割れた歯を丁寧に抜歯します。周囲の骨を傷つけないよう慎重に行います。
2.ガイド装着: 作製しておいたサージカルガイドをお口に装着します。
3.インプラント埋入: ガイドの穴に沿ってドリルを進め、インプラントを埋入します。事前のシミュレーション通りの位置に、迷いなくピンポイントで設置できるため、手術時間は比較的短く済みます。
マウスピースのような形をした手術用補助器具です。インプラントを埋め込むための穴が開いており、ドリルがブレることなく、計画通りの位置・深さにインプラントを導きます。これにより、血管や神経を傷つけるリスクを最小限に抑えます。
通常であれば、抜歯後の穴が塞がるのを待ち、骨が減ってしまった場合は「サイナスリフト」などの骨造成手術が必要になることがあります。これには追加の費用と身体的負担がかかります。
しかし今回は、抜歯した穴(抜歯窩)をそのまま利用してインプラントを固定できたため、大掛かりな骨造成を回避することができました。
手術はスムーズに終了し、痛みや腫れも最小限に抑えられました。

5. 治療後・予後
治療結果
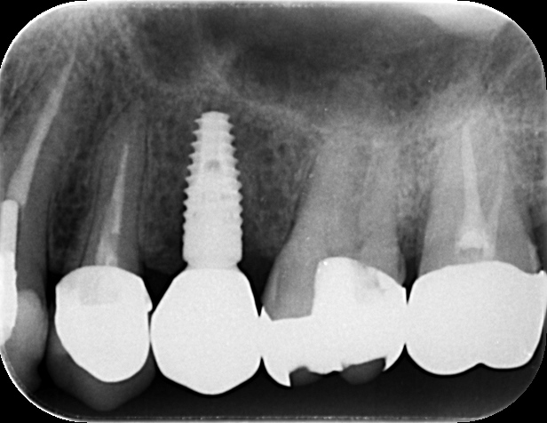
手術から約3~4ヶ月後、インプラントと骨がしっかりと結合していることを確認し、最終的な被せ物(上部構造)をセットしました。


●治療期間: 初診から約4ヶ月(通常法なら1年以上かかるところ)
●費用面: 骨造成(サイナスリフト等)の追加費用がかからず、トータルコストを抑えることができました。
上顎の骨が薄い場合に、鼻の横にある空洞(上顎洞)の底を持ち上げて、そこに骨補填材を入れて骨の厚みを確保する手術。難易度が高く、腫れや痛みが出やすい傾向があります。
6.考察とまとめ

今回の症例における成功要因は、「抜歯即時埋入」の選択と、それを可能にする「デジタル技術(サージカルガイド)の活用」です。
一般的な手順を踏むと、医院側としては何度も通院していただくことになりますが、患者さんにとっては「治療期間が長い」「費用がかさむ」「何度も痛い思いをする」というデメリットがあります。
当院では、可能な限り患者さんの負担(身体的・金銭的・時間的)を減らすことを第一に考えています。治療期間が短くなることは、患者さんの生活の質を向上させるだけでなく、私たち医院にとっても、より多くの患者さんのお悩みに向き合えるという「Win-Win」の関係を生み出します。
ただし、この「抜歯即時インプラント」は、すべての患者さんに適応できるわけではありません。また、成功させるためには、正確な診断力と、豊富な経験を持つ歯科医師による手技が不可欠です。
※通常よりも高度な技術を要するため、実施しているクリニックが限られる治療法でもあります。
当院では、常にデジタル機器を活用した診療に対応し、技術を研鑽し、患者さん一人ひとりに最適な治療計画をご提案しています。
「歯を抜くと言われたけれど、期間を短くしたい」「インプラントに興味があるけれど、手術が怖い」という方は、ぜひ一度当院へご相談ください。
監修:州デンタルオフィス
白土 州(院長 / 10studyClub 理事)
福岡歯科大学 卒業
九州歯科大学附属病院 口腔インプラント科
日本口腔インプラント学会会員
日本顕微鏡歯科学会会員

