本記事には、手術中の様子を写した写真(出血や切開箇所など)が含まれます。
苦手な方や体調の優れない方は閲覧をお控えいただくか、十分にご注意ください。
1. 患者さんのご紹介(主訴・お悩み)
今回ご紹介するのは、60代の男性の患者さんです。
「他院で治療を続けてきたが、インプラントは難しいと言われた。相談できる歯医者を探している」という経緯で、ご紹介を通じて当院を受診されました。
もともと左下奥歯(7番)の根管治療を繰り返してこられましたが、根管の壁が薄くなっている影響もあり、最終的に歯の根が割れる破折を起こしてしまいました。
患者さんとしては「できるだけ長く自分の歯を残したい」という強い思いをお持ちでしたが、抜歯は避けられない状況となり、その後の機能回復としてインプラント治療を検討されていました。
2. ご来院時の状態と診断
初診時、レントゲンおよび歯科用CTによる詳細な診査を行いました。
左下7番の状態: 事前の情報の通り、根管壁の摩耗と垂直的な破折を確認しました。保存(歯を残すこと)は不可能な状態でした。
左下6番の状態: 7番に隣接する6番の歯も、周囲の骨の吸収が進んでおり、将来的な安定が見込みにくい状態でした。
診断の結果、左下6番・7番の2本を抜歯し、インプラントを埋入する計画を提案いたしました。
しかし、患者さんは「6番まで抜かなければならないのか」という点に迷いがあり、一度検討されることになりました。
それから半年後、やはり6番の状態も悪化してしまい、「納得した上で2本ともインプラントにしたい」と再度ご来院いただき、治療がスタートすることとなりました。
歯に過度な力がかかったり、根管治療で歯が薄くなったりすることで、歯が割れてしまうこと。特に根が縦に割れる「垂直性歯根破折」の場合、細菌感染を防ぐことが難しいため、多くの場合で抜歯が必要となります。

3. 治療計画
州デンタルオフィスが提案する「10年後を見据えた」インプラント
通常、抜歯が必要なケースでは「抜歯をしてから数ヶ月待って、骨が回復してからインプラントを植える」というステップを踏みます。
しかし、当院では患者さんの身体的・精神的な負担をできる限り抑えるため、「抜歯即時埋入」という手法を軸とした計画を立案しました。
当院の強み:患者背景に合わせた意思決定
当院では、単に「歯を治す」だけでなく、患者さんの年齢やライフスタイルに応じた選択肢をご提案しています。
今回、60代という年齢を考慮し、「10年後にどのような状態でありたいか」を主眼に置きました。
70代、80代になった際、治療に耐えうる体力があるか、通院に支障がないか。今このタイミングで確実に噛める基盤を作ることは、将来のQOL(生活の質)を維持するために重要です。
歯を抜くのと同時にインプラントを埋入する術式。従来の方法に比べ、治療期間が数ヶ月短縮され、外科手術(切開など)の回数も減らせるため、患者さんの負担が軽減されます。

4. 治療時
ガイデッドサージェリーによる低侵襲・短時間手術
当日の手術は大きな問題なく進行しました。当院では、インプラント治療においてガイデッドサージェリーを用いた方法に対応しています。
手術時間: 事前にコンピュータ上で精密なシミュレーションを行っているため、実際の手術時間は比較的短時間で終了しました。来院から、オペ、術後のレントゲン確認、説明を終えてお帰りいただくまで、60分以内で完了しました。
低侵襲(低負担): 歯ぐきを大きく切開したり、縫合したりする必要がないため、術後の腫れや痛みはできるだけ抑えられます。
当院の強み:徹底した事前準備
「早く終わる」のは、手を抜いているからではありません。手術当日までに、CTデータと口腔内スキャンデータを統合し、0.1mm単位で埋入位置を確定させているからです。この徹底した準備こそが、確実かつスピーディーな治療を可能にしています。
コンピュータで設計した「マウスピース型のガイド」を装着して手術を行う手法。ドリルが計画通りの位置・角度・深さにしか動かないよう固定されるため、ヒューマンエラーを排除し、安全性を高めることが期待できます。


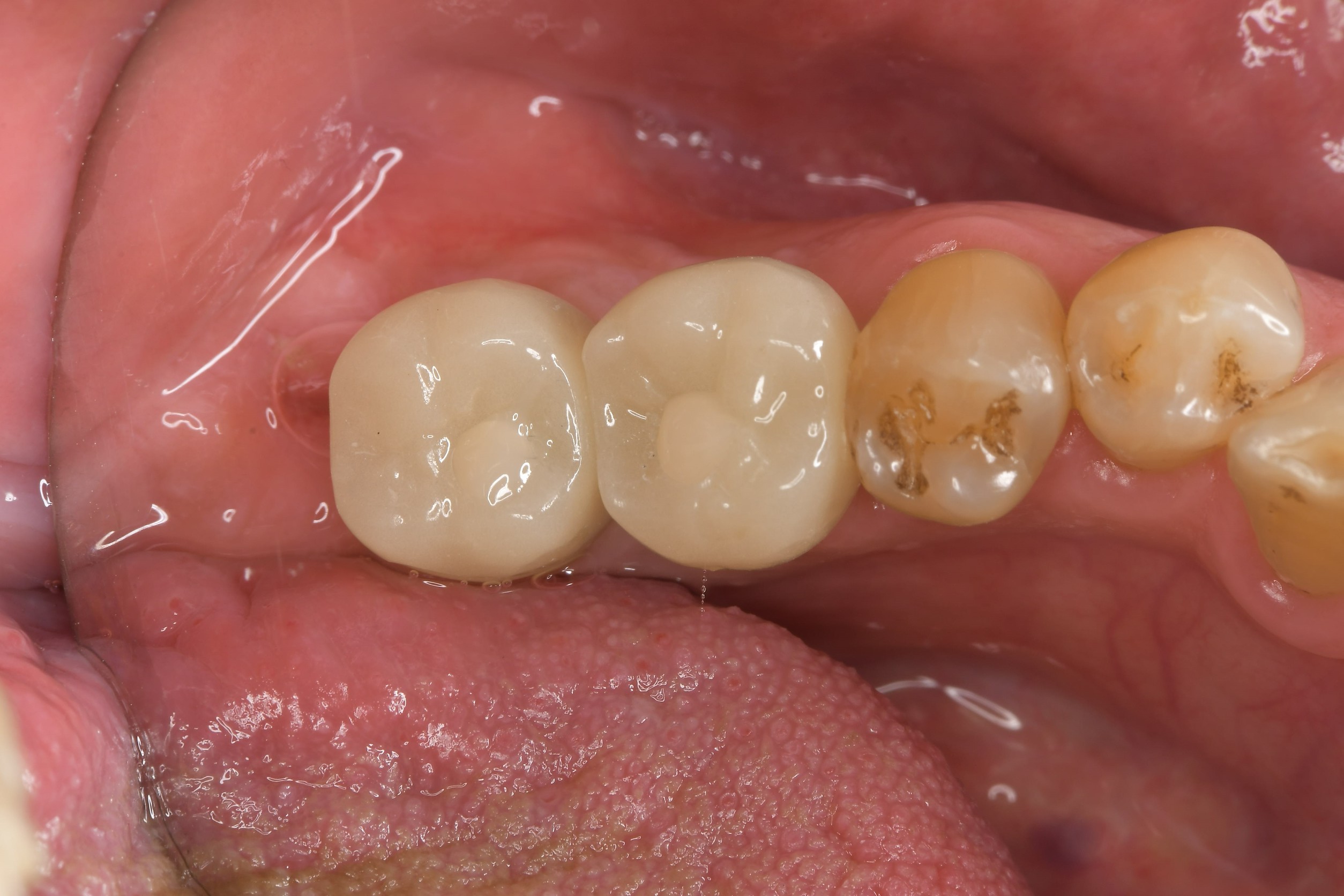
5. 治療後・予後
手術後の経過は良好で、インプラントはしっかりと骨と結合しています。現在は仮歯(上部構造)を装着し、左下の奥歯でしっかりと噛める喜びを実感していただいております。
今後の重要なポイントは、メンテナンスです。
患者さんは喫煙の習慣があるため、非喫煙者の方と比較すると、術後の血流阻害による治癒不全や、インプラント周囲炎(インプラントの歯周病)のリスクがどうしても高くなります。
そのため、当院では以下のケアを継続しています
1. プロフェッショナルクリーニング: 定期的な来院による徹底した清掃。
2. 生活習慣へのアドバイス: 喫煙がインプラントに与える影響を共有し、良好な口腔環境を維持するためのサポート。
「他院で断られた」という不安を抱えて来院された患者さんでしたが、短期間で負担の少ない治療を提供できたことで、ご満足いただくことができました。

【インプラント治療に関する注意事項(医療広告ガイドラインに基づく記載)】
副作用・リスク: インプラントは外科手術を伴います。術後、一時的に腫れや痛み、内出血が生じることがあります。また、喫煙や糖尿病などの持病がある場合、骨との結合が遅れたり、予後に影響を及ぼしたりする可能性があります。
費用: 自費診療(自由診療)となります。
期間: 抜歯即時埋入であっても、骨とインプラントが完全に結合するまでには数ヶ月の治癒期間が必要です。
今回の症例のように、「他院で難しいと言われた」「抜歯と言われたがどうすればいいか迷っている」という方は、一度当院へご相談ください。10年後を見据えた治療計画を一緒に考えていきましょう。
カウンセリングのご予約はこちらから承っております。
▶24時間WEB予約
監修:州デンタルオフィス
白土 州(院長 / 10studyClub 理事)
福岡歯科大学 卒業
九州歯科大学附属病院 口腔インプラント科
日本口腔インプラント学会会員
日本顕微鏡歯科学会会員

