今回は、左下の奥歯に違和感と腫れを訴えて来院された50代女性の患者さんの症例をご紹介いたします。歯を失う原因は虫歯や歯周病だけではありません。実は「歯の破折(割れること)」や「穿孔(穴が開くこと)」によって、保存が難しくなるケースも多いです。
今回の症例を通じて、当院が大切にしている「将来を見据えた治療選択」と「身体的負担の少ない手術」について解説します。
本記事には、手術中の様子を写した写真(出血や切開箇所など)が含まれます。
苦手な方や体調の優れない方は閲覧をお控えいただくか、十分にご注意ください。
1. 患者さんのご紹介(主訴・お悩み)
今回の患者さんは、以前より定期検診やクリーニング等で当院に通院されていた50代の女性です。
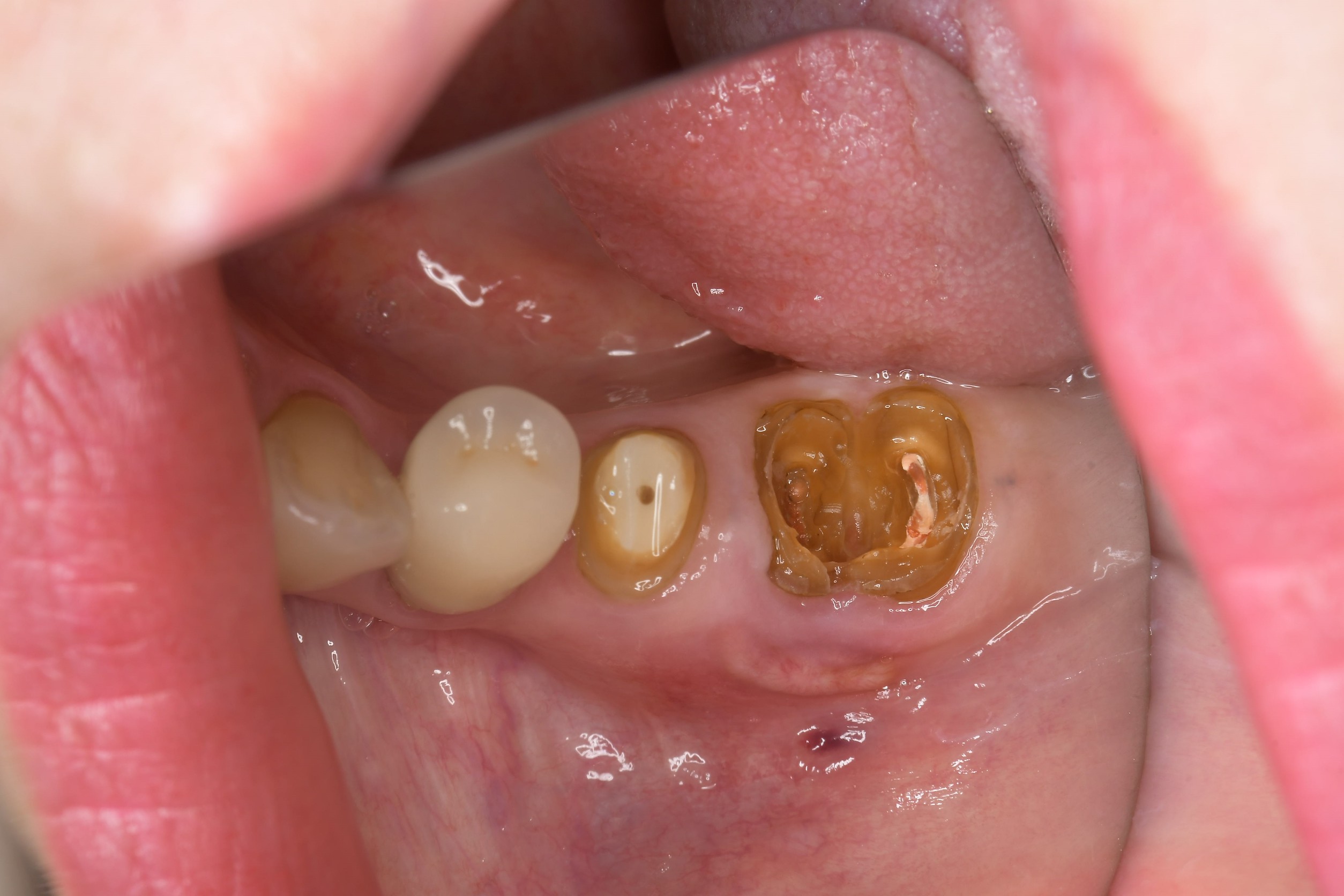
当初は「左下奥歯の違和感」を主訴に来院されました。当院の歯内療法専門医が精密な診断を行ったところ、左下5番(第2小臼歯)に「破折」が認められ、残念ながら抜歯適応との診断となりました。
その後、経過観察中に今度はその奥の左下6番(第1大臼歯)の歯ぐきに「フィステル(おできのような腫れ)」が出現。被せ物を外して内部を確認したところ、過去の根管治療の影響と思われる「穿孔」が確認され、こちらも保存不可という厳しい状況でした。
・歯内療法(しないりょうほう): 歯の内部にある神経や血管(歯髄)の病気を治療すること。いわゆる「根の治療」です。
・フィステル(瘻孔): 根の先に溜まった膿が、歯ぐきを突き破って出てくる出口のこと。
・穿孔(パーフォレーション): 根管治療中や細菌感染によって、歯の根に不自然な穴が開いてしまい、歯の内部と外部が通じてしまう状態。
2. ご来院時の状態と診断
精密検査の結果、以下のことが明らかになりました。
・左下5番: 歯根破折。
・左下6番: 根管内の穿孔。
・お口全体の傾向: どちらも神経のない失活歯(神経がなくなった歯)でしたが、患者さんには強い「食いしばり」の傾向がありました。
夜間に無意識に行われる食いしばりは、ご自身の体重以上の過度な力が歯に蓄積されます。神経を失い、もろくなっていた歯に長年の負荷によってクラック(ヒビ)が進行し、最終的に破折や穿孔に至ったものと考えられました。


3. 治療計画:州デンタルオフィスの「10年後を見据えた」視点
治療の選択肢として、まずは徹底的な再治療による保存の可能性も検討しました。しかし、現状のダメージから判断すると、数年後に再発し、再度手術が必要になる「予後不良」のリスクが高い状態でした。ここで、州デンタルオフィスが最も大切にしている「患者背景を考慮した選択」を行いました。
10年後の通院までを考慮する
私たちは、患者さんの現在の年齢だけでなく、「10年後の年齢」も考慮したうえで治療計画を検討しています。
「10年後にその治療部位がどうなっているか?」「その時、患者さんは今と同じように頻繁な通院や再手術に耐えられる体力・生活環境にあるか?」を逆算してお話しします。
今回の50代という年齢を考慮し、何度も再治療を繰り返して心身に負担をかけるよりも、このタイミングで確実性の高いインプラント治療を行い、将来にわたって安定した噛み合わせを構築する計画をご提案しました。
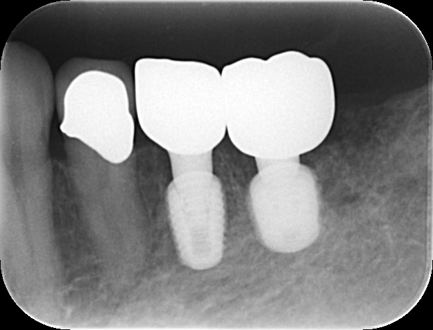
患者さんとじっくり相談した結果、左下5番・6番の2本をインプラントにする計画に決定しました。
身体への負担を考慮した「抜歯即時埋入」
通常、インプラントは「抜歯して数ヶ月待ってから埋入」という2回の手術ステップを踏みます。
しかし、当院では「抜歯即時インプラント埋入」を採用しました。
これにより、歯ぐきを切開したり縫合したりする必要がなく、治療期間と回数を短縮することが可能になります。
4. 治療時:ガイデッドサージェリーによる精密・短時間手術
手術当日は、患者さんの不安を抑えるため、スピードと正確性を追求しました。
当日の流れ(約60分で終了)
当院では事前にCTデータを用いたコンピュータシミュレーションを徹底して行います。
1. 来院
2. 局所麻酔・抜歯
3. インプラント埋入(切開なし)
4. レントゲン確認・術後説明
5. ご帰宅
これらすべてを終えてお帰りいただくまで、わずか60分ほどです。
州デンタルオフィスの強み:ガイデッドサージェリー
当院では全症例において「ガイデッドサージェリー」を使用します。これは、事前のシミュレーション通りにインプラントを植立するための「マウスピース型のガイド」を使用する手法です。
これにより、フリーハンドに比べて計画とのズレが極めて少なく、安全性が高いのはもちろん、無駄な動きがないため手術時間を短縮できます。「手術が怖かったけれど、あっという間に終わって驚いた」と仰る患者さんが多いのも、この精密な事前準備があるからです。
・抜歯即時インプラント埋入: 歯を抜くと同時にインプラントを埋入する術式。外科手術が一度で済み、治療期間を短縮できるメリットがあります。
・ガイデッドサージェリー: CTデータに基づき作成されたガイドを使用し、あらかじめ決めた位置・深さ・角度に正確にインプラントを導くシステム。



5. 治療後・予後
手術から10日後の検診では、抜歯した部分の歯ぐきはすでに良好な状態まで回復していました。
術後の経過写真からも、切開を行わない処置であったため、出血や腫れ、術後の痛みが比較的少ない状態で経過していることが確認できます。外科処置を一度で終えられた点は、お仕事や家事で忙しい患者さんにとって負担軽減につながりました。
今後は、インプラントが骨と結合するのを待ち、最終的な被せ物を装着していきます。左下の噛み合わせがしっかり戻ることで、他の残っている健康な歯を守ることにも繋がります。

まとめ
今回の症例のように、「歯を残したい」というお気持ちに寄り添いながらも、将来の生活の質(QOL)を考慮して、状況に応じてインプラントという選択肢をご提案することもあります。患者さんの将来を見据えた治療について、一緒に検討していくことが大切だと考えています。
「歯ぐきが腫れた」「歯を抜かなければならないと言われたが、どうすればいいか不安」という方は、ぜひ一度、たまプラーザの州デンタルオフィスへご相談ください。10年、20年先を見据えた、あなたにとって最善の治療計画を一緒に作っていきましょう。
治療詳細
・術名: 左下臼歯部抜歯即時インプラント埋入
・治療期間: 3か月
・費用: 1本 533,500円(税込み)
・リスク・副作用: インプラントは外科手術を伴います。術後、稀に痛みや腫れが出ることがあります。また、定期的なメインテナンスを怠るとインプラント周囲炎のリスクがあります。
監修:州デンタルオフィス
白土 州(院長 / 10studyClub 理事)
福岡歯科大学 卒業
九州歯科大学附属病院 口腔インプラント科
日本口腔インプラント学会会員
日本顕微鏡歯科学会会員

